Schwimmen

Fünf Monate nach schwerem Motorrad-Unfall: Julien Henx ist zurück auf dem Startblock

Knapp fünf Monate nach einem schweren Motorrad-Unfall nutzte Julien Henx am Freitagmorgen das Euro Meet in der Coque für sein Wettkampf-Comeback. Eine wichtige mentale Etappe auf seinem langen Weg zurück.

Julien Henx beim Euro Meet Auftritt, motiviert und bereit für den nächsten Schritt im Wettbewerb

Julien Henx kann auf seinen Auftritt beim Euro Meet aufbauen Foto: Editpress/Mélanie Maps

Als Julien Henx am Freitagmorgen auf den Startblock in der Coque stieg und für das Rennen über 50 Meter Schmetterling seine Startposition einnahm, spürte er in seinem vorderen Bein ein leichtes Zittern. Ein Zeichen der Aufregung. „Das hatte ich lange nicht mehr vor einem Rennen“, erzählte er wenig später mit einem kleinen Grinsen im Gesicht. „Es ist ein schönes Gefühl, zurück zu sein.“ In 24,93 Sekunden belegte er am Ende den 25. Platz. Es war weder seine schnellste Zeit noch seine beste Platzierung. Doch sie markierte eine wichtige Etappe auf seinem Weg zurück in die Normalität – und zurück in den Leistungssport.

„Es war der 8. September“, sagt Henx. Das Datum hat sich eingebrannt. Es ist ein Schicksalstag, der sein Leben veränderte. Im vergangenen Sommer war der Schwimmer mit einem Freund auf Motorradtour in Belgien unterwegs, als auf einer Landstraße plötzlich seine Bremse nicht mehr funktionierte.

„Wo genau es war, kann ich mich nicht erinnern. Die Bremse hat vor einer Kurve versagt, ich bin danngerade aus in einen steinigen, grasigen Weg reingefahren und nach gut 150 Metern gegen eine Böschung gekracht, die so steil nach oben ging wie eine Mauer“, erinnert sich Henx. Als ich aufgewacht bin, lag ich unter meinem Motorrad.“ Sein Freund alarmierte sofort den Rettungsdienst. Henx versuchte, selbstständig aufzustehen, doch als er sein linkes Bein belasten wollte, brach dieses weg. „Mein Unterbein war in der Mitte um 90 Grad abgeknickt. Ich hatte noch Glück, dass es kein offener Bruch war. Mein Overall hat alles zusammengehalten“, erinnert sich Henx an den Moment.

Mehrere Knochenbrüche

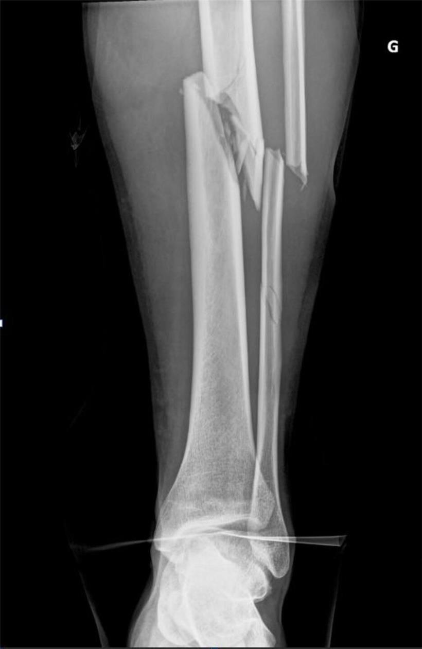
Im Krankenhaus stellten die Ärzte Brüche von Schien- und Wadenbein sowie einen Bruch des Oberschenkelknochens knapp oberhalb des Knies fest. Noch am selben Tag wurde Henx operiert. Ein 37 Zentimeter langer Nagel stabilisiert seither sein Unterbein.

„Ich hatte Pech, dass die Bremse nicht funktioniert hat“, so der 30-Jährige rückblickend. „Ein Motorrad hat 50.000 Teile – wenn die Bremse nicht funktioniert, ist das schlimmer als der Blinker.“ Gleichzeitig habe er aber auch Glück gehabt: „Dass ich nicht schneller unterwegs war, dass nichts noch Schlimmeres passiert ist, dass ich sofort Hilfe bekam und dass ich noch am selben Tag operiert wurde.“

Röntgenbild von Schienbein- und Wadenbeinbruch bei Unfall mit sichtbarem Knochenbruch und Frakturstellen

Die Röntgenaufnahmen zeigen den Bruch des Schien- und Wadenbeins Foto: Privat

Bereits zwei Tage nach dem Eingriff durfte er nach Hause. Die eigentliche Herausforderung begann jedoch erst dort. „Am Anfang hat mich jemand zu Bett gebracht, morgens angezogen und geduscht. Ich war immobil, das war das Schlimmste“, erzählt Henx. „Ich hatte auch sehr viele Schmerzen. Ich konnte nur drei Stunden schlafen, dann bin ich wegen der Schmerzen aufgewacht.“

Neben den körperlichen Beschwerden wog vor allem auch die mentale Belastung schwer. Vom Hochleistungssportler, der ständig in Bewegung ist, zum „ganzen Tag Rumlungern“ verurteilt. „Ich habe fünf Kilo verloren. Alles, was ich aufgebaut hatte, war plötzlich weg.“ Besonders die ersten Wochen nach dem Unfall waren schwer auszuhalten.

Euro Meet als Formtest

Nach neun Wochen konnte Henx erstmals wieder selbstständig gehen, seine Ärzte und Physiotherapeuten prognostizieren allerdings neun bis zwölf Monate, um wieder bei 100 Prozent zu sein. „Meine Reha läuft gut. Ich bin jetzt fast bei fünf Monaten und kann schon wieder leichte Sprünge machen. Die Belastung ist aber natürlich hoch.“

Im Wasser ist der Rückstand noch spürbar. Henx ist noch ein gutes Stück von seiner früheren Form entfernt. Zwar ging er fünf Wochen nach dem Unfall schon wieder ins Wasser. „Ich bin mit Krücken zum Beckenrand gehumpelt, habe mich vorsichtig auf den Boden gesetzt und bin dann langsam hineingeglitten. Schwimmen konnte ich also wieder relativ früh, allerdings ohne die Beine zu benutzen“, erzählt er. „Erst seit zwei Monaten kann ich wieder richtig mit Beinen schwimmen, aber es ist noch immer alles viel langsamer.“

Ich bin froh, dass ich fünf Monate nach dem Unfall endlich wieder einen Termin in meinem Kalender hatte, der eingekreist war

Julien Henx

Das Euro Meet, der erste Wettbewerb nach seinem Unfall, diente daher lediglich als erster Test, als Zwischenstation auf dem Weg zurück. Hohe Erwartungen gab es daher nicht. „Ich bin froh, dass ich fünf Monate nach dem Unfall, endlich wieder einen Termin in meinem Kalender hatte, der eingekreist war. Seit September hatte ich nichts mehr. Es war Reha, Training, Reha, Training ...“

Gleichzeitig ging es in der Coque auch darum, eine Referenzzeit zu haben. Im März steht mit dem CIJ Meet an gleicher Stelle der nächste Wettkampf an. „Dann können wir die Zeiten vergleichen und sehen, welche Fortschritte ich mache.“

Angesichts der Tatsache, dass Henx vor wenigen Monaten kaum gehen konnte, ist seine Zeit von 24,93 Sekunden, die er am Freitagmorgen schwamm, beachtlich – auch wenn sie noch mehr als eine Sekunde über seiner persönlichen Bestzeit von 23,55 Sekunden liegt. „Ich denke, dass ich enttäuscht sein werde“, hatte der Sportsoldat noch vor seinem Rennen gesagt. Das war er im Nachhinein aber nicht.

Schneller als erwartet

„Es ist nicht so schlecht, wie ich gedacht hatte. Ich wusste im Vorfeld gar nicht, was ich erwarten kann, weil ich seit sechs Monaten kein Rennen mehr geschwommen war. Ich konnte mich vor dem Rennen auch nicht so warmmachen wie früher, da ich zum Beispiel keine hohen Sprünge machen kann. Im Endeffekt bin ich sehr froh, wie es gelaufen ist. Mit der Zeit können wir weiterarbeiten.“ Auch dass er ohne Schmerzen aus dem Wasser stieg, deutete Henx als gutes Zeichen und gibt ihm Motivation für die kommenden Monate.

Anfang September läuft sein Sportsoldaten-Vertrag bei der Armee aus. „Wenn ich bis August nicht wieder schnell bin, bin ich kein Elitesportler mehr. Ich bekomme da auch ein bisschen Druck vom COSL“, so Henx. Das Olympische Komitee muss eine Empfehlung an die Armee abgeben. „Ich will nicht, dass diese Verletzung meine Karriere beendet. Ich will den Zeitpunkt selbst bestimmen.“ Er wünscht sich deswegen, noch ein weiteres Jahr bei der Armee zu bekommen, „damit ich es nochmal zu 100 Prozent versuchen kann. Das bis Sommer zu entscheiden, ist meiner Meinung nach, nach dem Unfall etwas zu voreilig. Ich kann nicht schneller machen, als ich heile.“

0 Kommentare
Das könnte Sie auch interessieren

Champions League

Schnelles Wiedesehen für Barreiro und Benfica

Cyclocross-WM

Zehnte zur Premiere: FSCL-Staffel mit solidem Auftritt in Hulst

Cyclocross-WM

Marie Schreiber: „Ich will diese Saison nicht vergessen“