Australien

Ärzte holen lebenden Wurm aus dem Gehirn einer Frau

Es fing mit Bauchschmerzen und Durchfall an, später folgten Gedächtnislücken und Depressionen. Später stellte sich heraus: Für die rätselhafte Erkrankung einer Frau in Australien war ein acht Zentimeter langer, lebender Wurm in ihrem Gehirn verantwortlich.

Nach der Entnahme habe der Wurm erst noch gezappelt, wie es in einer Presseerklärung heißt

Nach der Entnahme habe der Wurm erst noch gezappelt, wie es in einer Presseerklärung heißt Foto: dpa/Emerging Infectious Diseases

Fälle wie diesen gab es im Krankenhaus in Australiens eher beschaulichen Hauptstadt Canberra bisher noch nicht. Umso erstaunter waren die Mediziner, als sie bei einer Gehirnoperation einen lebenden, etwa acht Zentimeter großen Spulwurm entfernen mussten. Besagter Wurm, der als „Ophidascaris robertsi“ bekannt ist, kommt normalerweise in Teppichpythons vor. Die Patientin, eine 64-jährige Australierin, überlebte die Operation. Auch der Wurm habe bei der Entnahme erst noch gezappelt, hieß es in einer gemeinsamen Presseerklärung der Canberra Health Services und der Australian National University (ANU).

Der Fall ist ausgesprochen ungewöhnlich – eine vergleichbare parasitäre Infektion wurde „bisher noch nie beschrieben“, meinte Sanjaya Senanayake, ein Experte für Infektionskrankheiten. Der Mediziner, der sowohl an der ANU als auch am Canberra Hospital tätig ist, hat den Fall gemeinsam mit Kollegen in der Fachzeitschrift Emerging Infectious Diseases öffentlich gemacht.

Normalerweise kommen die Larven des Spulwurms in kleinen Säuge- und Beuteltieren vor, die wiederum gerne von Pythonschlangen gefressen werden. In der Speiseröhre und im Magen der Schlange entwickeln sich die Würmer dann weiter. „Spulwürmer sind unglaublich widerstandsfähig und können in den unterschiedlichsten Umgebungen gedeihen“, hieß es vonseiten der Experten. Die Würmer vermehren sich, indem ihre Eier über den Kot des Wirts ausgeschieden werden. Auf diese Weise hat sich die australische Frau dann wohl auch mit den Larven infiziert und wurde zum neuen Wirt der Tiere. Vermutlich hat sie sich die Parasiten eingefangen, als sie an einem See in der Nähe ihres Wohnorts die einheimische Pflanze Warrigal Greens gesammelt hat. Über deren Blätter könnte sie mit dem Kot des Pythons und damit den Parasiten in Kontakt gekommen sein.

Gesundes Blattgemüse

Warrigal Greens ist das australische Äquivalent zum Spinat und ist eine der einheimischen australischen Pflanzen, die gerne zum Kochen verwendet wird. Die Pflanzen enthalten eine hohe Dosis an Vitamin C und sind ein vielseitiges Gemüse, das in einer Fleischpfanne, in Quiche oder als Pesto verarbeitet werden kann. Warrigal Greens war eine der ersten einheimischen Pflanzen, die auch die Mannschaft von Kapitän James Cook im 18. Jahrhundert aß, um Skorbut vorzubeugen. Auch die Patientin verwendete die gesammelten Pflanzen zum Kochen und infizierte sich entweder direkt durch die Berührung der Blätter oder nach dem Verzehr des Grüns mit dem Parasiten.

Die ersten Symptome traten bei ihr im Januar 2021 auf: „Sie bekam zunächst Bauchschmerzen und Durchfall, gefolgt von Fieber, Husten und Atemnot“, berichtete Karina Kennedy, Direktorin für klinische Mikrobiologie im Canberra Hospital. Im Nachhinein betrachtet hätte man diese Symptome wahrscheinlich auf die Migration von Spulwurmlarven aus dem Darm in andere Organe wie Leber und Lunge zurückführen können, meinte die Expertin. Doch weder Atemwegsproben noch eine Lungenbiopsie zeigten den Parasiten. Zu diesem Zeitpunkt waren die Larven aber wohl auch „mikroskopisch klein“ und schwer zu identifizieren. Sie aufzuspüren, wäre gewesen, „wie eine Nadel im Heuhaufen“ zu finden, erklärte Kennedy.

Vergesslichkeit und Depressionen

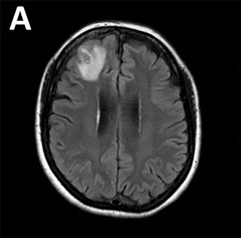
Ende Januar 2021 wurde die Patientin erstmals ins örtliche Krankenhaus eingewiesen. Zu dem Zeitpunkt hatte sie drei Wochen lang unter Bauchschmerzen und Durchfall gelitten, gefolgt von ständigem trockenen Husten, Fieber und nächtlichen Schweißausbrüchen. 2022 – also ein Jahr später – begann sie schließlich, subtile Veränderungen im Gedächtnis und in der Gedankenverarbeitung zu bemerken. Sie litt unter Vergesslichkeit und Depressionen. Die Patientin wurde zu einer Kernspintomografie des Gehirns geschickt, die letztendlich eine atypische Läsion im rechten Frontallappen des Gehirns zeigte.

Kernspintomografie des Gehirns zeigte eine atypische Läsion im rechten Frontallappen

Kernspintomografie des Gehirns zeigte eine atypische Läsion im rechten Frontallappen Foto: AFP/The Australian National University

Eine Neurochirurgin im Canberra Hospital entdeckte bei der späteren Operation dann den acht Zentimeter großen Spulwurm. Parasitologie-Experten bestätigten im Anschluss anhand seines Aussehens und durch molekulare Studien, dass es sich um „Ophidascaris robertsi“ handelte. Die Ärzte vermuten, dass sich neben dem Tier im Gehirn der Patientin auch noch Larven und Jungtiere in anderen Organen ihres Körpers befanden, darunter in der Lunge und der Leber. Neben der Operation musste die Frau deswegen auch medikamentös weiterbehandelt werden.

Patientin wird weiterhin überwacht

Der Mediziner Senanayake sagte, der weltweit bisher einzigartige Fall verdeutliche die Gefahr der Übertragung von Krankheiten und Infektionen vom Tier auf den Menschen. Diese werde immer größer, je enger Menschen und Tiere zusammenleben und sich Lebensräume überschneiden würden. „In den letzten 30 Jahren gab es weltweit etwa 30 Neuinfektionen“, erklärte der Experte. Von diesen weltweit neu auftretenden Infektionen seien etwa 75 Prozent zoonotisch, das heißt, es kam zu einer Übertragung von der Tierwelt auf den Menschen. Die Ophidascaris-Infektion sei allerdings nicht zwischen Menschen übertragbar und werde daher keine Pandemie wie Sars, Covid-19 oder Ebola auslösen. Allerdings würden die Schlange und der Parasit auch in anderen Teilen der Welt vorkommen. Somit sei es „wahrscheinlich, dass in den kommenden Jahren weitere Fälle in anderen Ländern auftauchen werden“, meinte Senanayake.

Laut Kennedy ist die wichtige Botschaft dieses Falles, auf die allgemeine Lebensmittelsicherheit zu achten – vor allem bei der Gartenarbeit wie auch bei der Nahrungssuche. Dazu würde gehören, sich „nach der Gartenarbeit und dem Berühren der geernteten Produkte die Hände zu waschen“, erklärte sie. Alle Lebensmittel, die für Salate oder zum Kochen verwendet werden, sollten ebenfalls gründlich gewaschen werden und Küchenoberflächen und Schneidebretter sollten nach Gebrauch abgewischt und gereinigt werden.

Die Patientin hat ihr Martyrium überraschend gut überstanden. Sie wird jedoch weiterhin von Spezialisten für Infektions- und Gehirnerkrankungen überwacht. „Es ist nie einfach oder wünschenswert, für irgendetwas der erste Patient auf der Welt zu sein“, sagte Senanayake. Er könne nur seine Bewunderung für diese Frau zum Ausdruck bringen. Sie habe in diesem Prozess „Geduld und Mut bewiesen“.

0 Kommentare
Das könnte Sie auch interessieren

Nuklearkatastrophe

Russische Drohnen bedrohen Atomreaktor in Tschernobyl

;