„Planung und Installation in Rekordzeit“: So jubelt das Nordspital in einem Facebook-Post am Sonntagmorgen. Grund zur Freude ist die Inbetriebnahme des ersten „Covid-Scanners“ – genau genommen handelt es sich hierbei um einen gewöhnlichen CT-Scanner. „Das Gerät ist aber extra für Covid-19-Patienten reserviert“, erklärt eine Sprecherin des Krankenhauses.
Von gewöhnlich kann bei CT-Scannern aber eigentlich sowieso kaum die Rede sein. In Geräten wie diesem „Healthcare Revolution Evo“ von der amerikanischen Firma General Electric rotiert ein Röntengerät so schnell um den Patienten herum, dass das Gerät eine Schwerkraft von bis zu 70G erfährt – ein Vielfaches dessen, was ein Astronaut in einer aufsteigenden Rakete durchmacht. Den Patient selbst betrifft das natürlich nicht. In einem Firmenvideo von General Electric wird die Funktionsweise vorgeführt.
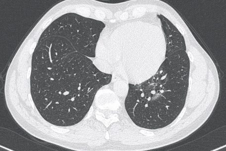
Das dreidimensionale Schnittbild aus dem Körperinneren, das der CT-Scanner liefert, ist bei vielen Krankheitsbildern enorm hilfreich – so auch bei der Bewertung einer Covid-19 -Erkrankung: So kann etwa genau erkannt werden, an welchen Stellen das Virus die Lunge möglicherweise bereits befallen hat. Dort kommt es zu Ansammlungen zäher Flüssigkeit in den Lungenbläschen („Milchglastrübungen“). Im schlimmsten Fall verfestigt sich das Lungengewebe und wird irreparabel geschädigt. Kann das nicht aufgehalten werden, droht der Tod. Durch das CT kann das Vorliegen von Covid-19 „bereits sehr früh im Laufe der Erkrankung“ erkannt werden, heißt es in den medizinischen Leitlinien.
„In der schnellen Notfalldiagnostik bei Patienten mit akuten respiratorischen Symptomen hat sich bei einer zunehmenden Auslastung der Kapazitäten eine schnelle Abklärung einer Covid-19-Erkrankung durch ein Thorax-CT als nützlich erwiesen“, stellt außerdem die E-Health-Webseite Digithurst.Net fest. Dies gelte „insbesondere, wenn man bei einer hohen Zahl an Neuaufnahmen Patientengruppen mit und ohne Covid-19 konsequent voneinander trennen möchte.“

Mir kennen dankbar sin, an engem Land ze liewen waat sech 4 vun deenen deieren Scanneren kann leeschten. Et get wierklech alles gemeet fir eis Luxusbierger!
Bleiwt dobannen an bleiwt gesond???